为何不建议仅检测POLE热点突变、MMR和p53免疫组化?
新闻来源: 发布时间:[2021-12-15]
前言
几天前,中国抗癌协会妇科肿瘤专业委员会、中华医学会病理学分会和国际病理质控中心联合在《中国癌症杂志》上发布了《子宫内膜癌分子检测中国专家共识(2021年版)》,旨在提高中国临床工作者对于子宫内膜癌分子检测的认识,以指导与规范子宫内膜癌分子检测在国内的临床应用。共识中对比了多种检测方法的差异,并给出了相应的参考材料。

之前也有多位业内人士向我们建议,飞朔生物的子宫内膜癌分子分型检测为何要测那么多基因?按照NCCN指南推荐,检测POLE热点突变、MMR和p53免疫组化就可以分型了,这样成本还低。在这里我们结合新出炉的专家共识一起探讨如下。
#01
热点突变覆盖了大部分但不是全部POLE致病位点
专家共识对POLE突变检测的推荐包括热点突变检测(2A类)或POLE基因核酸外切酶结构域(EDM)致病突变检测(2B类)。诚然常见的P286R、V411L、S297F、A456P和S459F这5个热点突变已经覆盖了95.3%的已知POLE基因致病变异位点,共识仍然推荐在条件允许的情况下,采用高通量测序的方法,检测POLE基因9~14号外显子区域的致病突变。
共识参考了一项对POLE突变的致病性进行系统评估的研究。研究人员分析了TCGA研究中具有POLE体细胞突变的82个子宫内膜癌数据,发现已知POLE EDM致病突变存在以下特异性的基因组改变:(1)C>A颠换>20%,(2)T>G颠换>4%,(3)C>G 颠换<0.6%,(4)indels <5%,(5)TMB>100 mut/Mb。研究者开发了一个POLE致病性评分系统,以上基因组特征每项1分,在TCGA或COSMIC EC数据库中反复出现加1分。研究人员采用4分作为临界值,≥4分的肿瘤除携带5个热点突变外,还携带有其他6个非热点的POLE EDM突变,所有这些突变均为TCGA或COSMIC EC数据库中的复现突变。另还有4种评分为3分的突变被归类为不确定意义的变异。

POLE致病性评分
在对3361位子宫内膜癌患者的队列汇总分析中,研究者发现具有通过评分系统判断为可能致病突变的患者,5年的RFS为92.3%,与之前报道的POLE超突变亚型预后相似,表明这部分患者应归类到POLE超突变型中。
虽然该评分系统目前仅供参考,但不可否认的是,随着研究的不断深入,有很多突变的致病性分级会发生变化。如果现在仅检测热点突变,遗漏了重要的信息,将来无法回溯和修正。
#02
常规MMR/MSI筛查会漏检林奇综合征患者
共识原文中提到“有研究团队采用肿瘤单组织测序对465例IV期结直肠癌患者进行林奇综合征筛查,灵敏度可达100%,特异度为95.3%,而常规MMR/MSI检测联合BRAF V600E筛查会漏检10%的林奇综合征患者。”
这项研究是美国俄亥俄州结直肠癌预防计划的一部分,共入组了465位患者,包括验证队列的46例已知林奇综合征病例和前瞻性队列的419名成员。前瞻性队列中共有12例林奇综合征病例。使用MSI或IHC进行检测,然后进行BRAF V600E检测,分别漏掉了5例和6例林奇综合征患者。与IHC加BRAF检测89.7%(95% CI 78.8%-96.1%,P=0.04)的灵敏度,以及MSI加BRAF检测91.4%(95% CI 81.0%-97.1%,P=0.07)的灵敏度相比,肿瘤单样本测序具有更好的灵敏度(100%,95% CI 93.8%-100%)。三种方法的特异性较为接近。
研究发现一例前瞻性PMS2胚系突变的患者,其MLH1启动子已被甲基化。按照现有的筛查方法,该病例将被视为散发性肿瘤,不被建议进行遗传咨询和后续基因检测。
文章还提到,按照标准的筛查流程,对没有MLH1启动子甲基化的dMMR患者进行MMR基因胚系突变检测,检出率仅为25%~67%。当未检测到胚系突变时,患者只能被诊断为不明原因的MMR缺陷。然而,高达68%的没有胚系突变的非甲基化dMMR病例是由于MMR基因获得了2个体细胞突变所致。采用肿瘤单样本测序,可以更好地区分林奇综合征和非林奇患者。另外,研究还发现了380例(81.7%)样本具有至少1个可能有治疗意义的体细胞突变。

按照现有的筛查模式,不明原因的MMR缺陷仍需加测肿瘤样本NGS

研究建议采用NGS进行林奇综合征的初筛
虽然这是一项基于结直肠癌患者的研究,但是考虑到林奇综合征与子宫内膜癌的相关性,本次专家共识也参考了该研究结果。并建议“在初诊的子宫内膜癌患者中筛查林奇综合征时,可考虑采用高通量测序方法替代常规MMR/MSI检测,直接对肿瘤组织(不含配对正常样本)进行高深度靶向多基因检测。”检测的基因包括MLH1、MSH2、MSH6、PMS2、EPCAM;建议补充POLE和TP53基因检测,在筛查的同时可以一并分型。
#03
采用P53免疫组化分型可能会有误差
专家共识原文指出“TCGA研究中,Copy-number high组常见TP53基因突变,发生比例约92%。因此,TP53基因突变可用于替代copy-number high分型,而p53蛋白免疫组织化学检测和TP53基因突变一致性可达92.1%,临床实践中采用p53蛋白免疫组织化学检测更易实现,但需注意由此可能导致约15%的copy-number high人群被分类到NSMP组。”
一项对TCGA数据的重分析研究表明,在高达22%的子宫内膜癌中发生了TP53基因的移码突变或无义突变。这些突变不会导致p53蛋白的稳定表达,无法通过IHC检测为p53过表达。移码或无义突变与p53表达缺失关联,可能会被误判为野生型p53。

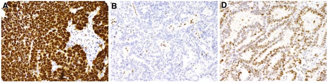
A、p53过表达,B、p53表达完全缺失,D、P53野生型
(现实中的病例可能没有上图这样典型)
此外,免疫组织化学结果依赖染色与判读,亦有其他文献报道了p53 IHC与TP53测序不一致的情形。

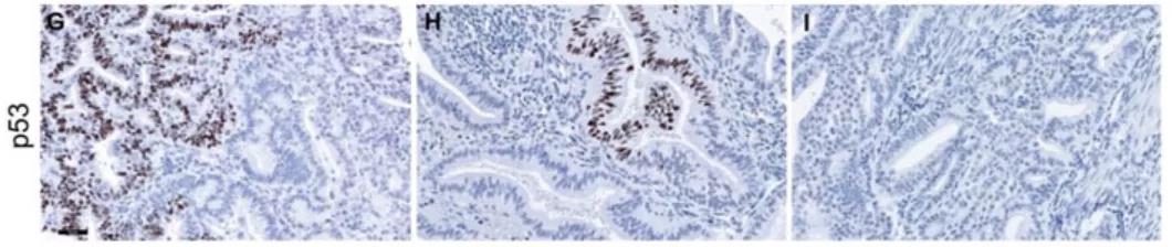
不一致的p53表达有着相同的致病性TP53突变(c. 637C>CT)
#04
越来越丰富的免疫、靶向治疗生物标志物
免疫治疗已获批用于复发或转移性子宫内膜癌患者的治疗,目前获批的药物主要是针对PD-1靶点的单克隆抗体,如pembrolizumab、nivolumab和dostarlimab-gxly。获批的伴随诊断分子标志物有dMMR、MSI-H和TMB-H。
FDA已批准的子宫内膜癌用药靶点有NTRK和HER2,还有一些泛癌种临床研究探究PI3K/AKT/mTOR、KRAS、AKT1、FGFR2、FBXW7和PTEN等基因的靶向治疗效果。
共识推荐复发或转移性子宫内膜癌患者可考虑采用高通量测序检测TMB、MSI、NTRK融合,检测样本为肿瘤组织和配对正常标本(外周血)。可同时检测PIK3CA、KRAS、AKT1、FBXW7、PTEN等基因突变、FGFR2重排或融合和HER2基因扩增等靶点,寻求跨癌种用药适应证及泛癌种临床试验入组机会的同时,还可进行分子分型。
总结
“近年来,高通量测序技术的发展加深了我们对子宫内膜癌发病机制和分子遗传特征的理解,基于分子遗传特征的个体化精准治疗,革新了子宫内膜癌的治疗模式。”随着研究的不断深入、技术的不断发展、测序成本的不断降低,更加全景的子宫内膜癌检测panel将是大势所趋。
飞朔生物的子宫内膜癌分子分型检测
飞朔生物的子宫内膜癌分子分型检测是与复旦大学附属妇产科医院病理科共同开发,除必检的POLE 9-14号外显子、MSI和TP53全CDS区外,还涵盖了MMR和EPCAM基因全CDS区,以及CTNNB1、PIK3CA、KRAS、PTEN等多个扩展性基因。飞朔致力于为肿瘤个体化精准医学检测提供最具创新性的产品和服务,并持续更新现有产品。
参考文献
[1] 子宫内膜癌分子检测中国专家共识(2021年版)
[2] J Pathol. 2020 Mar;250(3):323-335.
[3] JAMA Oncol. 2018 Jun 1;4(6):806-813.
[4] J Pathol. 2020 Mar;250(3):336-345.
[5] Oncotarget. 2017 Apr 11;8(15):25542-25551.
[6] Int J Gynecol Pathol. 2016 Jul;35(4):289-300.